

症例紹介

裏側ワイヤー矯正の症例を紹介いたします
こちらのページでは、ミライ デンタル クリニックの「裏側ワイヤー矯正」で歯列矯正治療を行われた実際の患者さまの症例を紹介いたします。
治療前(Before)と治療後(After)の写真と、それぞれの治療内について解説しておりますので、治療の参考にしてください。
ブルーライン
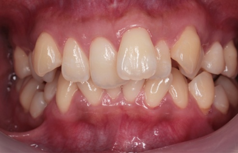
クラウディング(不正咬合・でこぼこ歯)の症例紹介1



上下の歯の隙間が、写真でもはっきりと見える状態です。
通常よりも、上下の歯が開いているため、隙間が目立って見えています。
同時に、歯列が乱れており、ややガタガタになっています。





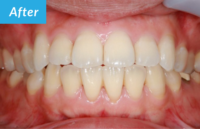
歯の裏側にブラケットとワイヤーを装着する裏側ワイヤー矯正と、マウスピース矯正を併用しました。
その結果、上下の隙間がなくなり、歯並びも綺麗になっています。
治療内容
裏側ワイヤー矯正(両顎)
+ マウスピース4セット
上下両顎で矯正治療を行いました。
前歯部の裏側に、ブラケットとワイヤーを装着する裏側ワイヤー矯正を9か月間実施。
歯の裏側に装置を付けるため、外観からは、矯正治療をしていることはほとんどわかりません。
裏側ワイヤー矯正で大きく動かした後、マウスピース矯正で、微調整を行いました。
マウスピースは4セットで約3か月ほどの着用となり、全体で約12か月となっています。
治療期間
12ヶ月
施術の来院回数
12回
費用
555,500円(税込)
内訳:矯正治療 495,000円(税込・モニター価格)・調整費 60,500円(5,500円×11回)
副作用とリスク
当院では、安全かつ効果的な矯正治療を行うために細心の注意を払っておりますが、すべての医療行為と同様に、以下のような可能性が稀に生じることがあります。
事前にご理解いただいた上で、安心して治療をお受けいただけるよう努めてまいります。
- ごく稀ではありますが、使用する金属に対してアレルギー反応が出る可能性があります。既往歴のある方は、事前にお申し出ください。
- 装着したブラケットが強い力や衝撃などにより、歯面から外れることがあります。
- 矯正用ワイヤーが一部外れる、あるいは変形することがございます。違和感を覚えた際は、速やかにご連絡ください。
- 歯が移動を始めた際、一時的に痛みや不快感を覚えることがあります。通常は数日以内に自然に軽減されます。
- 治療前に行うシミュレーションは、精度の高い予測に基づいています。しかし、実際の歯の動きには個人差があり、結果に若干の差異が生じる場合があります。その都度、適切な調整を行いながら治療を進めてまいります。
- 矯正治療が完了した後も、歯が徐々に元の位置に戻ろうとする「後戻り」が生じることがあります。これを防ぐために、保定装置(リテーナー)のご使用を継続していただくことが大切です。
ブルーライン
クラウディング(不正咬合・でこぼこ歯)の症例紹介2



上下、両顎とも、歯並びが乱れており、上の前歯が、下の前歯を覆うように隠しています。
また、犬歯の下に隙間が生じています。





歯の裏側にブラケットとワイヤーを装着する裏側ワイヤー矯正と、マウスピース矯正を併用しました。
その結果、上下の隙間がなくなり、歯並びも綺麗になっています。
治療内容
裏側ワイヤー矯正(両顎)
+ マウスピース6セット
上下両顎で矯正治療を行いました。
前歯部の裏側に、ブラケットとワイヤーを装着しました。ワイヤー装着の期間は、10か月程度になりました。
歯の裏側に装置を付けるため、外観からは、矯正治療をしていることはほとんどわかりません。
裏側ワイヤー矯正で大きく動かした後、マウスピース矯正で、微調整を行いました。
マウスピースは6セットで約4か月ほどの着用となり、全体で約14か月となっています。
治療期間
14ヶ月
施術の来院回数
14回
費用
566,500円(税込)
内訳:矯正治療495,000円(税込・モニター価格)・調整費 71,500円(5,500円×13回)
副作用とリスク
当院では、安全かつ効果的な矯正治療を行うために細心の注意を払っておりますが、すべての医療行為と同様に、以下のような可能性が稀に生じることがあります。
事前にご理解いただいた上で、安心して治療をお受けいただけるよう努めてまいります。
- ごく稀ではありますが、使用する金属に対してアレルギー反応が出る可能性があります。既往歴のある方は、事前にお申し出ください。
- 装着したブラケットが強い力や衝撃などにより、歯面から外れることがあります。
- 矯正用ワイヤーが一部外れる、あるいは変形することがございます。違和感を覚えた際は、速やかにご連絡ください。
- 歯が移動を始めた際、一時的に痛みや不快感を覚えることがあります。通常は数日以内に自然に軽減されます。
- 治療前に行うシミュレーションは、精度の高い予測に基づいています。しかし、実際の歯の動きには個人差があり、結果に若干の差異が生じる場合があります。その都度、適切な調整を行いながら治療を進めてまいります。
- 矯正治療が完了した後も、歯が徐々に元の位置に戻ろうとする「後戻り」が生じることがあります。これを防ぐために、保定装置(リテーナー)のご使用を継続していただくことが大切です。
ブルーライン
クラウディング(不正咬合・でこぼこ歯)の症例紹介3



上顎の前歯が、下顎の前歯の上に覆いかぶさるようになっている状態です。
その上、上下とも歯並びがかなり乱れています。
また、一部、上下の歯の間に隙間も見られます。





歯の裏側にブラケットとワイヤーを装着する裏側ワイヤー矯正と、マウスピース矯正を併用しました。
その結果、上下の隙間がなくなり、歯並びも綺麗になっています。
治療内容
裏側ワイヤー矯正(両顎)
+ マウスピース6セット
上下両顎で矯正治療を行いました。
前歯部の裏側に、ブラケットとワイヤーを装着しました。ワイヤー装着の期間は、11か月程度になりました。
歯の裏側に装置を付けるため、外観からは、矯正治療をしていることはほとんどわかりません。
裏側ワイヤー矯正で大きく動かした後、マウスピース矯正で、微調整を行いました。
マウスピースは6セットで約4か月ほどの着用となり、全体で約15か月となっています。
治療期間
15ヶ月
施術の来院回数
15回
費用
572,000円(税込)
内訳:矯正治療495,000円(税込・モニター価格)・調整費 77,000円(5,500円×14回)
副作用とリスク
当院では、安全かつ効果的な矯正治療を行うために細心の注意を払っておりますが、すべての医療行為と同様に、以下のような可能性が稀に生じることがあります。
事前にご理解いただいた上で、安心して治療をお受けいただけるよう努めてまいります。
- ごく稀ではありますが、使用する金属に対してアレルギー反応が出る可能性があります。既往歴のある方は、事前にお申し出ください。
- 装着したブラケットが強い力や衝撃などにより、歯面から外れることがあります。
- 矯正用ワイヤーが一部外れる、あるいは変形することがございます。違和感を覚えた際は、速やかにご連絡ください。
- 歯が移動を始めた際、一時的に痛みや不快感を覚えることがあります。通常は数日以内に自然に軽減されます。
- 治療前に行うシミュレーションは、精度の高い予測に基づいています。しかし、実際の歯の動きには個人差があり、結果に若干の差異が生じる場合があります。その都度、適切な調整を行いながら治療を進めてまいります。
- 矯正治療が完了した後も、歯が徐々に元の位置に戻ろうとする「後戻り」が生じることがあります。これを防ぐために、保定装置(リテーナー)のご使用を継続していただくことが大切です。
ブルーライン
オープンバイト(開咬)の症例紹介



オープンバイト(開咬)は、読んで字のごとく、上下の歯の間に隙間ができる状態のことを指します。
こちらの患者さまも、上下の歯に隙間が生じており、また、歯並びも若干、乱れています。





歯の裏側にブラケットとワイヤーを装着する裏側ワイヤー矯正と、マウスピース矯正を併用しました。
その結果、上下の隙間がなくなり、歯並びも綺麗になっています。
治療内容
裏側ワイヤー矯正(両顎)
+ マウスピース6セット
上下両顎で矯正治療を行いました。
前歯部の裏側に、ブラケットとワイヤーを装着しました。ワイヤー装着の期間は、6か月程度になりました。
歯の裏側に装置を付けるため、外観からは、矯正治療をしていることはほとんどわかりません。
裏側ワイヤー矯正で大きく動かした後、マウスピース矯正で、微調整を行いました。
マウスピースは6セットで約4か月ほどの着用となり、全体で約10か月となっています。
治療期間
10ヶ月
施術の来院回数
10回
費用
544,500(税込)
内訳:矯正治療495,000円(税込・モニター価格)・調整費 49,500円(5,500円×9回)
副作用とリスク
当院では、安全かつ効果的な矯正治療を行うために細心の注意を払っておりますが、すべての医療行為と同様に、以下のような可能性が稀に生じることがあります。
事前にご理解いただいた上で、安心して治療をお受けいただけるよう努めてまいります。
- ごく稀ではありますが、使用する金属に対してアレルギー反応が出る可能性があります。既往歴のある方は、事前にお申し出ください。
- 装着したブラケットが強い力や衝撃などにより、歯面から外れることがあります。
- 矯正用ワイヤーが一部外れる、あるいは変形することがございます。違和感を覚えた際は、速やかにご連絡ください。
- 歯が移動を始めた際、一時的に痛みや不快感を覚えることがあります。通常は数日以内に自然に軽減されます。
- 治療前に行うシミュレーションは、精度の高い予測に基づいています。しかし、実際の歯の動きには個人差があり、結果に若干の差異が生じる場合があります。その都度、適切な調整を行いながら治療を進めてまいります。
- 矯正治療が完了した後も、歯が徐々に元の位置に戻ろうとする「後戻り」が生じることがあります。これを防ぐために、保定装置(リテーナー)のご使用を継続していただくことが大切です。
ブルーライン
スペーシング(すきっ歯・空隙歯列)の症例紹介



スペーシング(すきっ歯・空隙歯列)とは、歯の間に隙間が生じる状態を指します。
こちらの患者さまも、2本の前歯の間に大きな隙間が生じています。
また、上の前歯がやや下の前歯にかぶさっており、下の歯にも隙間が見られます。





歯の裏側にブラケットとワイヤーを装着する裏側ワイヤー矯正と、マウスピース矯正を併用しました。
その結果、上下の隙間がなくなり、歯並びも綺麗になっています。
治療内容
裏側ワイヤー矯正(両顎)
+ マウスピース4セット
上下両顎で矯正治療を行いました。
前歯部の裏側に、ブラケットとワイヤーを装着しました。ワイヤー装着の期間は、9か月程度になりました。
歯の裏側に装置を付けるため、外観からは、矯正治療をしていることはほとんどわかりません。
裏側ワイヤー矯正で大きく動かした後、マウスピース矯正で、微調整を行いました。
マウスピースは4セットで約3か月ほどの着用となり、全体で約12か月となっています。
治療期間
12ヶ月
施術の来院回数
12回
費用
555,000(税込)
内訳:矯正治療495,000円(税込・モニター価格)・調整費 60,500円(5,500円×11回)
副作用とリスク
当院では、安全かつ効果的な矯正治療を行うために細心の注意を払っておりますが、すべての医療行為と同様に、以下のような可能性が稀に生じることがあります。
事前にご理解いただいた上で、安心して治療をお受けいただけるよう努めてまいります。
- ごく稀ではありますが、使用する金属に対してアレルギー反応が出る可能性があります。既往歴のある方は、事前にお申し出ください。
- 装着したブラケットが強い力や衝撃などにより、歯面から外れることがあります。
- 矯正用ワイヤーが一部外れる、あるいは変形することがございます。違和感を覚えた際は、速やかにご連絡ください。
- 歯が移動を始めた際、一時的に痛みや不快感を覚えることがあります。通常は数日以内に自然に軽減されます。
- 治療前に行うシミュレーションは、精度の高い予測に基づいています。しかし、実際の歯の動きには個人差があり、結果に若干の差異が生じる場合があります。その都度、適切な調整を行いながら治療を進めてまいります。
- 矯正治療が完了した後も、歯が徐々に元の位置に戻ろうとする「後戻り」が生じることがあります。これを防ぐために、保定装置(リテーナー)のご使用を継続していただくことが大切です。
“無料”精密検査のお申込み、
当院のお問合せはLINEでどうぞ
無料の精密検査のお申込みや、当院への質問などございましたら、LINEにて気軽にご相談ください。
※LINEの「友だち追加」の後、案内に従ってお問合せください。
※お申込みまで費用は一切かかりません。
・初回カウンセリング
・精密検査
・治療計画書作成
・シミュレーション作成
・治療計画説明
まで全て無料で対応しております。










